当院では、患者さまにより安全で質の高い医療をご提供するため、最新かつ高度な医療機器・設備の導入に努めています。
このページでは、当院が備える先進的な機器・設備の概要と、それらを活用する診療分野・役割をご紹介いたします。
機器の性能や導入目的、検査・治療への応用例などをわかりやすく掲載しておりますので、
「どのような技術で診療を行っているのか」を知りたい方や、治療選択を検討されている方にとっての一助となれば幸いです。
-
● 病院機能評価認定当院は、日本医療機能評価機構による病院機能評価を受審し、
医療の質や安全管理、組織運営などが第三者の立場から評価され、
全項目で高い評価を受け認定されました。 -
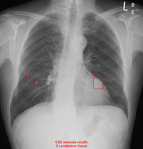
● 胸部X線 AI読影AI読影は、医用画像をAI(人工知能)が解析し、 医師の画像診断を支援する取り組みです。 診断の参考情報として活用し、より丁寧な読影につなげています。
医師とAIが連携することで、より質の高い医療の提供につなげています。 -
● 無痛MRI(乳がん)検査無痛MRI乳がん検診(ドゥイブス・サーチ)は、 乳房を圧迫せず、うつ伏せの姿勢で行うMRI検査です。 痛みや被ばくに配慮し、乳がんの早期発見を目的とした検診として活用しています。
先進的なMRI技術を活用し、患者さんにやさしい乳がん検診を実現しています。 -
● 手術支援ロボット(ダヴィンチXi)外科・泌尿器科・婦人科の取り組み高精度な操作と立体視を活かし、身体への負担を抑えた“やさしい手術”を実現するロボット支援手術〈ダヴィンチXi〉。 小さな創で出血や痛みを軽減し、早期回復を目指します。
専門チームが術前説明から退院後のフォローまで寄り添い、安心と安全を第一に取り組んでいます。 -
● 脳血管内治療24時間365日体制/脳梗塞・動脈瘤などカテーテルを用いて血管の内側から治療を行う、身体への負担が少ない低侵襲治療です。
脳梗塞に対する血栓回収療法や未破裂動脈瘤へのコイル塞栓術など、多様な疾患に対応。
24時間365日の連携体制のもと、発症直後から再発予防まで切れ目のない診療を行っています。 -
● 人工膝関節置換術 支援ロボット(VELYS RAS)整形外科ひとりひとりの膝関節の形状や軟部組織バランスを術中に可視化し、
インプラントの最適な位置を高精度に導き出す次世代の支援ロボット〈VELYS RAS〉。
手術精度の向上と術後の機能回復を両立し、より快適な日常生活の実現を目指します。 -
● 放射線治療(TrueBeam )放射線治療科令和7年6月、最新鋭の高精度放射線治療装置〈Varian TrueBeam〉を導入。
体表面モニタリング〈IDENTIFY〉や治療計画〈RayStation〉と組み合わせ、
病巣へ正確に照射しながら体への負担を抑える治療を目指します。